Knochenbrüche: Unterschied zwischen den Versionen

Aus KiwiThek
Wechseln zu: Navigation, Suche
Zeile 5: Zeile 5:
 
Dadurch kommt es meist zu einer Verschiebung der Bruchenden und dadurch zu einer '''mehrwöchigen Pause''' für die betroffene Person.
 
Dadurch kommt es meist zu einer Verschiebung der Bruchenden und dadurch zu einer '''mehrwöchigen Pause''' für die betroffene Person.
  
|Bilder=[[Datei:Gebrochene_Speiche.jpg|thumb|200px|center|Gebrochener Arm - Speiche]]}}
+
|Bilder=[[Datei:Gebrochene_Speiche.jpg|thumb|200px|center|{{ImageCaption|Titel=Gebrochener Arm - Speiche|Urheber=Jane Agnes |Quelle={{ImageMetaSource|Quelle=https://commons.wikimedia.org/wiki/File:Monteggia_Fracture.jpg|Linktext=commons.wikimedia.org}}|Lizenz={{ImageMetaLicense|URL=https://creativecommons.org/licenses/by-sa/3.0/deed.en|Lizenz=CC BY-SA 3.0}}}}]]}}
 
{{IndexPic|[[Datei:Bein_mit_Gips.jpg‎ |thumb|200px|center|Bein mit Gips]]}}
 
{{IndexPic|[[Datei:Bein_mit_Gips.jpg‎ |thumb|200px|center|Bein mit Gips]]}}
  

Version vom 11. Oktober 2016, 13:40 Uhr

Gebrochener Arm - Speiche - Jane Agnes commons.wikimedia.org, CC BY-SA 3.0

Knochenbrüche werden auch Frakturen genannt. Die entstehen durch direkte (zB Tritt) oder indirekte (zB Sturz) Gewalteinwirkung.

Dadurch kommt es meist zu einer Verschiebung der Bruchenden und dadurch zu einer mehrwöchigen Pause für die betroffene Person.


Bein mit Gips


Sofortmaßnahmen

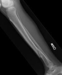
Gebrochenes Schienbein

Ruhigstellung, Schienung, anschließend Transport ins Krankenhaus. Da die betroffene Stelle auf keinen Fall belastet werden sollte, empfiehlt sich der Abtransport der betroffenen Person mit einer Trage. Im Falle einer Ohnmacht oder einer möglichen Wirbelsäulenverletzung darf der Abtransport nur durch Fachleute (Sanitäter, Notärzte) vorgenommen werden.

Folgebehandlung

Mit Hilfe einer Röntgenaufnahme wird der Schweregrad der Verletzung abgeklärt. Es erfolgt entweder eine Behandlung mit Gips oder eine operative Versorgung. In der Rehabilitation unterstützen Mobilisations-, Kräftigungs-, Koordinations- und Ausdauerübungen den Heilungsprozess wesentlich. Die volle sportliche Belastbarkeit ist, je nach Bruchart, erst nach vielen Wochen der völligen Bruchheilung gegeben.


Schlüsselbeinbruch

Gebrochenes Schlüsselbein



Rucksackverband von hinten

Ein Schlüsselbeinbruch ist häufig die Folge von einem Sturz oder Schlag gegen das Schlüsselbein oder die Schulter, zum Beispiel beim Reiten, Fußball oder Skifahren. Dabei kann die bandartige Verbindung vom Schlüsselbein zum Schultergelenk reißen oder das Schlüsselbein brechen. Oft entsteht als Folge eine starke Schwellung und häufig ist eine Stufenbildung in der Schulter sichtbar.

Sofortmaßnahmen

Den Arm in einer Schlinge oder einem Armtragetuch ruhig stellen und einen Transport in das nächste Krankenhaus organisieren.

Folgebehandlung

In den meisten Fällen wird nach der Bruchversorgung für mehrere Wochen ein Rucksackverband angelegt. Krankengymnastische Übungen unterstützen die Heilung. Die Sportfähigkeit ist erst nach Ausheilung des Bruches und Beschwerdefreiheit gegeben.

Eine Operation erfolgt meist nur bei besonderen Bruchformen.


Sonstiges