Verrenkungen

Aus KiwiThek
Wechseln zu: Navigation, Suche
Röntgenbild eines ausgerenkten Zeigefingers - Hellerhoff commons.wikimedia.org, CC BY-SA 3.0

Bei einer Verrenkung oder Ausrenkung kommt es zu einer Verschiebung zweier durch ein Gelenk verbundener Knochenenden.


Dabei können die Gelenkpartner oft nicht mehr in die normalen Gelenkstellungen zurückkehren.


Als Folge entstehen Kapsel- und Bandzerreißungen.


Sofortmaßnahmen

Pause, Entlastung, Hochlagerung, anschließend Transport ins Krankenhaus

Folgebehandlung

Schonende Einrenkung, evtl. mit Narkose durch den Arzt. Das Gelenk sollte für mehrere Tage geschont und entlastet werden. In der Rehabilitation helfen Mobilisations- und Kräftigungsübungen beim Heilungsprozess. Eine volle sportliche Belastbarkeit ist erst nach schmerzfreier Gelenkfunktion gegeben. Bei häufig wiederkehrenden Verrenkungen kann eine Operation erforderlich sein um dadurch eine bessere Gelenkstabilität zu erreichen.


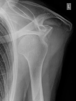
Schulterverrenkung

Röntgenbild einer ausgerenkten Schulter - Hellerhoff commons.wikimedia.org, CC BY-SA 3.0

Eine Schulterverrenkung wird häufig durch einen Sturz auf den ausgestreckten Arm oder durch einen starken Zug am Arm ausgelöst. Diese Verletzung treten häufig beim Skifahren, Eishockey, Handball oder Turnen auf.

Bei einer „ausgekugelten“ Schulter steht der Oberarm seitlich vom Körper ab, die normalen Umrisse des Schultergelenks sind verändert, der ausgerenkte Oberarmkopf und die Gelenkpfanne sind tastbar.

Sofortmaßnahmen

Den Arm in einer Schlinge ruhig stellen und Arztin bzw. Arzt aufsuchen. Es sollte nach Möglichkeit kein Versuch unternommen werden, den Arm selbst einzurenken. Denn dabei können Nerven und Gefäße geschädigt werden.

Folgebehandlung

Schnellstmögliche, fachgerechte Einrenkung mit oder ohne Narkose. Anschließend erfolgt eine Ruhigstellung der Schulter für einige Tage oder Wochen. Eine Operation kann bei jungen Sportlern oder schulterbelastenden Sportarten sinnvoll sein.

Vorbeugung

Schutzausrüstung (zB beim Eishockey) und eine gut entwickelte und trainierte Muskulatur im Schulterbereich


Sonstiges